
日本矯正歯科学会認定医・歯学博士 河底晴紀
矯正治療は、年齢や歯の成長段階によって進め方が大きく変わります。
今回は、11歳のお子さんが「拡大床」からスタートし、最終的にマルチブラケット装置を装着して治療を完了した実際の流れを紹介します。
お子さんの矯正を検討されている保護者の方にとっても、治療の進み方をイメージしやすい内容です。
スタートは11歳。矯正検査から治療へ
11歳という年齢は、永久歯がほとんど生えそろい、歯列や咬み合わせの最終的な形が見え始める大切な時期です。
当院では矯正検査を行い、模型・写真・レントゲンなどを通して、骨格的な成長や歯の配置のバランスを詳しく分析します。
このお子さんは、上あごの幅がやや狭く、歯の並ぶスペースが不足している状態でした。
このまま永久歯が生えると、叢生(そうせい:歯並びが重なってガタガタになる状態)になるリスクが高かったため、まずは「拡大床(かくだいしょう)」という取り外し式の装置から治療を始めました。
拡大床による歯列の基礎づくり
拡大床は、あごの骨や歯列を穏やかに広げていく装置です。
装置の中央にあるネジを週に数回回していくことで、上あごの骨を少しずつ拡げ、歯が正しく並ぶためのスペースを確保します。
装着のポイントは「継続」です。
拡大床は主に就寝時に使用しましたが、家に帰って宿題をしている時間などにも装着してもらいました。
その結果、装着時間を十分に確保できたことで、効果が早く表れました。
このお子さんも、保護者のサポートのもとでしっかりと使用を継続でき、約4ヶ月後には明らかな変化が見られました。
歯列の幅が広がることで、歯と歯の間に十分なスペースが生まれ、咬み合わせの基礎が整いました。
拡大床はこの段階で大きな役割を果たし、矯正の“土台”を作ってくれる大切な工程といえます。
拡大後の2期前検査と次のステップ
拡大床の使用を終えた段階で、再度検査(2期前検査)を行いました。
装置によってどれくらいの拡大効果が得られたか、歯列・骨格の変化、今後の成長予測を丁寧に分析します。
成長期は変化が早いため、治療のタイミングを見極めることが重要です。
このお子さんの場合、上あごの拡大によって咬み合わせの幅は整いましたが、抜歯をせずに臼歯部をカリエールで遠心移動しました。
カリエールの役割:奥歯を正しい位置へ
カリエールは、奥歯全体を後方へ移動させることで、理想的な咬み合わせに導く装置です。
頬側に細いバーを取りつけて、ゴムの力で歯を後方に引っ張る仕組みになっています。

この工程の目的は、咬み合わせ全体のバランスを整えることです。
奥歯が正しい位置に下がることで、前歯や犬歯の位置も自然と理想的な位置に動きます。
約3ヶ月間の使用で、臼歯の関係が改善し、次に予定していた本格矯正へと移行できる状態になりました。
マルチブラケット装置で最終仕上げ
本格矯正のステップでは、いわゆる「マルチブラケット装置」を装着しました。
歯の表面にブラケットをつけ、ワイヤーの弾性を利用して1本1本の歯を理想的な位置へと誘導していく治療法です。
このお子さんの場合、拡大と遠心移動の段階をしっかり行っていたため、歯を抜かずにきれいな歯列を実現できました。
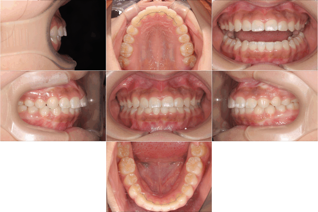
マルチブラケット装置の装着期間は約1年。治療初期に比べて、歯並びは見違えるほど整いました。
笑顔の印象が大きく変わり、咬み合わせの機能面も安定しました。
ブラケットを外した後はリテーナー(保定装置)を装着し、整った歯並びがしっかり安定するよう管理を続けます。
治療を振り返って:早期治療の意義
この症例であらためて感じるのは、「成長期だからできる矯正治療」の大切さです。
拡大床で歯並びの土台を整え、カリエールで奥歯の位置関係を改善し、マルチブラケットで全体を仕上げる。
それぞれのステップに意味があります。
もし、成長が終わってから同じ状態で治療を始めていた場合、歯を抜く必要が出たり、治療期間が長くなったりする可能性もあります。
小学校高学年〜中学生初期の「成長期の治療」によって、自然な骨の変化を活かした矯正が可能になります。
当院の矯正方針
河底歯科・矯正歯科では、患者さん一人ひとりの成長段階と生活スタイルに合わせて、最適な装置と時期を提案しています。
拡大床やカリエールなど、装置はあくまで手段のひとつ。
大切なのは、長期的な成長と歯列の安定を見据えた治療計画です。
治療を進める中で、小さな変化や努力を一緒に確認しながら、患者さん・ご家族と歩む矯正治療を大切にしています。
お子さんの未来の笑顔をつくる治療を、これからも続けていきたいと思います。
まとめ
・11歳からの早期矯正は、骨の成長を利用できる大きなチャンス。
・拡大床は歯列の基礎を整え、カリエールやブラケットで仕上げていく段階的な治療が理想。
・治療期間は約1年半から2年。成長に合わせた計画で、無理なくきれいな咬み合わせを実現できる。
河底歯科・矯正歯科では、初回相談から検査・説明まで丁寧に行い、安心して矯正を進めていただけます。
お子さまの歯並びや咬み合わせに気になる点がある方は、どうぞお気軽にご相談ください。
筆者プロフィール:河底晴紀(歯学博士/日本矯正歯科学会認定医)
この記事は、河底歯科・矯正歯科院長河底晴紀が書いております。
◾️資格
・歯学博士
・日本矯正歯科学会認定医
◾️所属
・日本臨床歯科学会
・K-Project
・FCDC
・MID-G
・福山市歯科医師会 理事






