日本矯正歯科学会認定医・歯学博士 河底晴紀


今回は、15歳の女性患者さんの矯正治療症例をご紹介します。
この症例は、単に歯並びを整えるだけでなく、顎関節の問題と咬合(かみ合わせ)を最優先に考えた治療が必要だったケースです。
矯正治療というと「見た目をきれいにする治療」というイメージを持たれがちですが、実際には顎・筋肉・歯の機能のバランスを整えることが非常に重要です。本症例は、そのことをよく表している治療経過でした。顎関節治療ページへ
矯正相談時の主訴と初診時の状態
患者さんが矯正相談に来院されたのは15歳の時。
主なご相談内容は「歯並びが気になる」という一般的なものでしたが、診察を進めていく中で、いくつかの重要な問題が見つかりました。
① 顎関節のクリック音
口を開閉する際に、顎関節から「カクッ」というクリック音が認められました。
ご本人は「音が鳴ることがある」程度の認識でしたが、問診を進めると、
-
以前、口が開きにくくなったことがある
-
脱臼しかけたような感覚を経験したことがある
というエピソードもあり、顎関節への負担がかなり大きい状態であることが分かりました。
② 犬歯(3番)の著しい咬耗
さらに注目すべきだったのが、上下左右すべての犬歯(3番)が強くすり減っていた点です。
通常、犬歯は「ガイド」として噛み合わせを守る非常に重要な歯ですが、本症例では歯軋り(ブラキシズム)によると考えられる明らかな咬耗が認められました。
しかし、患者さん本人には
-
歯軋りの自覚なし
-
家族から指摘されたこともない
という状況でした。
これは、無意識下での歯軋り・食いしばりが起きている典型的なケースです。
矯正治療前にスプリント治療を選択した理由
このような状態で、いきなり矯正装置を装着することは非常にリスクがあります。
顎関節が不安定なまま歯を動かすと、
-
顎関節症状の悪化
-
痛みや開口障害
-
治療途中で矯正を中断せざるを得なくなる
といった問題につながる可能性があるからです。
そこで本症例では、**矯正治療に先立ってスプリント治療(顎関節治療)**を行うことを選択しました。
スプリント治療の目的と経過
スプリント治療の目的は、以下の3点です。
-
顎関節の位置を安定させる
-
筋肉の緊張を緩和する
-
無意識の歯軋り・食いしばりから歯と顎を守る
患者さんには、夜間を中心にスプリントを装着していただき、定期的に調整を行いました。
治療を進める中で、
-
顎関節のクリック音が徐々に減少
-
開口時の違和感が軽減
-
顎が外れそうな感覚がなくなった
といった改善がみられ、顎関節の状態が安定したことを確認した上で、いよいよ本格的な矯正治療へと移行しました。
抜歯を伴う矯正治療の選択
本症例では、歯列のスペース不足と口元のバランスを考慮し、上下左右の4番目の歯(第一小臼歯)を4本抜歯する治療計画としました。
ここで大切なのは、
-
抜歯=悪い治療
では決してない、という点です。
適切な診断のもとで行う抜歯矯正は、
-
歯並びの安定
-
無理のない歯の移動
-
顎関節への負担軽減
につながる、非常に合理的な選択です。
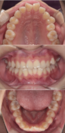
2年半の矯正治療を経て
矯正装置を装着してから、治療期間は約2年半。
治療中も顎関節の状態を定期的にチェックしながら、慎重に歯の移動を進めました。
治療終了時には、
-
歯列はきれいに整い
-
犬歯誘導が回復
-
噛み合わせも安定
-
顎関節のクリック音もほぼ消失
という、機能面・審美面ともに非常に良好な結果を得ることができました。
治療後の今後の注意点|親知らずについて
治療後の状態は安定していますが、今後の注意点として**親知らず(第三大臼歯)**があります。
現時点では大きな問題はありませんが、
-
将来的な歯列への影響
-
清掃性の問題
-
炎症リスク
を考えると、落ち着いた時期に親知らずの抜歯を検討することが望ましいと考えています。
これは「今すぐ必要」という意味ではなく、将来の安定を見据えた予防的な判断です。
まとめ|見た目だけでなく「顎」を診る矯正治療の大切さ
今回の症例は、
-
顎関節症状
-
無自覚の歯軋り
-
咬耗
-
歯列不正
といった複数の問題が重なっていました。
もしスプリント治療を行わずに矯正を開始していたら、結果は全く違ったものになっていた可能性があります。
矯正治療は、歯だけを見る治療ではありません。
顎・筋肉・噛み合わせまで含めて診断し、必要に応じて治療の順番を組み立てることが、長期的な成功につながります。
成長期のお子さんや、顎の音・違和感がある方は、ぜひ一度ご相談ください。お子様の矯正治療はこちら
将来を見据えた矯正治療をご提案いたします。
筆者プロフィール:河底晴紀(歯学博士/日本矯正歯科学会認定医)
この記事は、河底歯科・矯正歯科院長河底晴紀が書いております。
◾️資格
・歯学博士
・日本矯正歯科学会認定医
◾️所属
・日本臨床歯科学会
・K-Project
・FCDC
・MID-G
・福山市歯科医師会 理事





