
日本矯正歯科学会認定医・歯学博士 河底晴紀
「短期間で歯並びをきれいにしたい」
「前歯の見た目を整えたいけれど、矯正だけで本当に満足できるのか不安」
福山で歯並びや口元の見た目にお悩みの方の中には、
セラミック矯正という言葉に興味を持たれている方も多いのではないでしょうか。
セラミック矯正は、
歯の美しさを追求できる治療である一方、
選び方を間違えると後悔につながる可能性もあります。
本記事では、
福山でセラミック矯正を検討されている方に向けて、
-
セラミック矯正の正しい理解
-
一般的なセラミック矯正のメリット・注意点
-
当院が得意とする「矯正+セラミック」という治療の考え方
について、専門的かつ分かりやすく解説します。
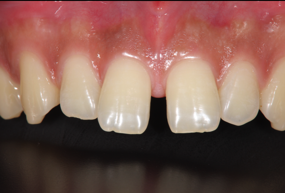
セラミック矯正とは?
一般的に「セラミック矯正」と呼ばれる治療は、
歯を動かす矯正治療ではなく、セラミックの被せ物で歯並びを整えて見せる治療です。
歯を削り、セラミッククラウンやラミネートベニアを装着することで、
-
歯並び
-
歯の形
-
歯の色
を短期間で整えることができます。
ワイヤー矯正やマウスピース矯正と比べ、
治療期間が短いことが特徴です。
一般的なセラミック矯正のメリット
短期間で見た目が整う
数か月程度で治療が完了することもあり、
結婚式や就職活動など、期限がある方にとっては大きな魅力です。
歯の色・形まで同時に整えられる
歯並びだけでなく、
「歯が小さい」「形が気になる」「色を白くしたい」
といった審美的なお悩みも同時に改善できます。
セラミック矯正で知っておくべき注意点
一方で、セラミック矯正には注意すべき点もあります。
健康な歯を削る必要がある
セラミック矯正は、
健康な歯を削ることが前提となる治療です。
一度削った歯は元に戻らないため、慎重な判断が必要です。
歯並びの根本改善ではない
歯を動かしているわけではないため、
噛み合わせや歯の位置関係の問題が残るケースもあります。
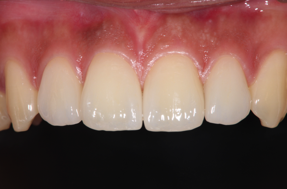
当院が考える「本当に美しいセラミック矯正」
当院では、
単に被せ物で歯並びを整える治療を
「セラミック矯正」とは考えていません。
当院の最大の強みは、
矯正治療(多くの場合は部分矯正)を行ったうえで、
セラミックで最終的な歯の形・美しさを整える治療です。
なぜ矯正を先に行うのか?
歯並びをある程度整えてからセラミック治療を行うことで、
-
歯を削る量を最小限に抑えられる
-
無理な形の被せ物を作らずに済む
-
噛み合わせのバランスを保ちやすい
といった大きなメリットがあります。
特に前歯の軽度なガタつきや傾きは、
部分矯正で改善できるケースが非常に多いのが特徴です。
部分矯正+セラミックのメリット
歯を守りながら美しさを追求できる
矯正で歯の位置を整えてからセラミックを被せることで、
歯の削除量を最小限に抑えつつ、
自然で美しい仕上がりが期待できます。
見た目だけでなく機能も重視できる
噛み合わせを考慮したうえでセラミック治療を行うため、
見た目だけでなく、
長期的な安定性・噛みやすさにも配慮できます。
このような方におすすめです
-
前歯の見た目をきれいにしたい
-
矯正だけでは仕上がりに満足できるか不安
-
できるだけ歯を削りたくない
-
美しさと歯の健康、どちらも大切にしたい
こうした方には、
矯正+セラミックという選択肢が適している場合があります。
福山でセラミック矯正を検討する際のポイント
治療の選択肢をきちんと提示してくれるか
-
矯正のみ
-
セラミックのみ
-
矯正+セラミック
それぞれのメリット・デメリットを説明したうえで、
無理に一つの治療を勧めない医院を選ぶことが重要です。
審美と矯正、両方の視点があるか
セラミック矯正は、
審美歯科と矯正歯科、両方の知識と経験が必要な治療です。
セラミック矯正をご検討中の方へ
セラミック矯正は、
正しく行えば非常に満足度の高い治療です。
しかし、
「削って被せる」ことだけを前提にした治療では、将来的に後悔する可能性もあります。
当院では、
歯をできるだけ守りながら、美しさを最大限に引き出す治療を大切にしています。
福山でセラミック矯正を検討されている方は、
ぜひ一度、矯正とセラミックの両面から
治療計画を考えることをおすすめします。

筆者プロフィール:河底晴紀(歯学博士/日本矯正歯科学会認定医)
この記事は、河底歯科・矯正歯科院長河底晴紀が書いております。
◾️資格
・歯学博士
・日本矯正歯科学会認定医
◾️所属
・日本臨床歯科学会
・K-Project
・FCDC
・MID-G
・福山市歯科医師会 理事





